頚椎症性脊髄症について ~病気が心配な患者さんへ~
独立行政法人 国立病院機構 村山医療センター
院長 谷戸祥之
マツコさん「首の圧迫」で手術
テレビ番組で、タレントのマツコ・デラックスさんが電話出演し、「首の脊髄が圧迫され、手足にしびれが出たため手術を受けて入院している」と話したことが話題になりました。
手のしびれから知る頚椎症性脊髄症
頸椎で脊髄が圧迫される病気には、頸椎症性脊髄症、椎間板ヘルニア、靱帯骨化症などがあります。手術法も異なります。マツコさんの病気の詳細がわかりませんが、ここでは代表的な頸椎症性脊髄症について説明させていただきます。
手のしびれや歩きにくさは、頸椎症性脊髄症など「首(頸椎)で脊髄が圧迫される病気」で見られることがあります。症状が続く場合は、自己判断で様子を見すぎず、早めに専門医へ相談して原因を確認することをおすすめします。

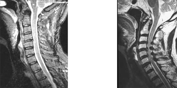
写真は頚椎のMRIです。成人男性の頚椎を横から見たところです。向かって左側が顔、右側が後頭骨です。ほぼ中央を縦に降りてくるのが脊髄です。左の写真では圧迫がありませんが、右の写真では4箇所に圧迫がみられます。
歩行障害
脊髄の圧迫による歩行障害は特徴的です。両下肢に力ははいるのに(筋力低下はないのに)、つっぱったような歩き方、ギクシャクした歩き方になってしまいます。階段の昇り降りにてすりを必要とすることもあります。症状が進行すると平地での歩行にも杖がないと不可能になります。
膀胱直腸障害
脊髄症状のひとつに膀胱直腸障害があります。頻尿、残尿感、開始遅延といった症状があげられます。こういった症状が出現したときには早期の手術を必要とすることが多いです。
手術治療
頚椎の後方もしくは前法から神経の通り道を広げます(脊柱管拡大術)。手術用顕微鏡を用いて筋肉をできうる限り温存する、術後の痛みの少ない手術(skip laminoplasty)も施行されています。手術時間は1時間半から3時間、出血はほとんどありません。多くの患者さんが術後1~2週間で退院となります(術前の症状の重症度によって期間は異なります)。

手術治療を考慮すべき時期
・保存的治療をしていてもしびれや痛みがつらい。
・歩行障害が出現している。
・膀胱直腸障害が出現している。
村山医療センターでは上記に限らず確定診断、鑑別診断を含めて診察を行います。疑わしい患者さんはどうぞご紹介ください。保存的治療で様子をみていい患者さんについてはその旨ご返事に記載してお返しいたします。3ヶ月~半年、1年での経過観察も行っておりますのでその間の保存的治療につきましては宜しくお願いいたします。




